62 400₽
15 990₽
Имплантация зубов под ключ
За один день и на всю жизнь
Отдельная операционная
Лечение во сне
Хирурги с опытом до 20 лет
3D диагностика + КЛКТ
0₽
Профосмотры каждые 6 мес.
0₽
Современный центр имплантации в Москве в ЦАО
Добиваемся приживаемости 99.9% даже в сложных случаях, благодаря современным методикам и многолетнему опыту
Более 10 лет работы клиники
Более 19 000 имплантаций в практике наших специалистов
сложная имплантация и протезирование с полным восстановлением улыбки
Наша специализация —
Проводим имплантацию во сне — вы просто засыпаете, а просыпаетесь с новыми зубами
Уникальные, малотравматичные методики позволяют вернуться к привычной жизни уже через 1–2 дня
  • Врач челестнолицевой хирург, стоматолог, имплантолог

  • Опыт работы 20 лет

  • >15 000 установленных имплантов
Тумянан
Ваге Самсонович
Не просто лечим зубы,
а меняем жизнь к лучшему
История пациента:
Боялась боли и долгой реабилитации. Но все делали всё во сне — я даже ничего не почувствовала. В этот же день могла есть и говорить
Имплантация и установка временной коронки/протеза — за 1 день
2
Все этапы в одной клинике, с сильнейшей командой специалистов
отделяет всего 3 шага
Фиксация постоянной коронки/протеза — через несколько недель
3
Консультация и диагностика — бесплатно
1
От новой улыбки Вас
Помогаем даже в сложных случаях, когда другие клиники отказывают
Скуловая имплантация (Zygoma)
Птеригоидная имплантация
Все зубы на 4/6 имплантах
Классическая имплантация
Мы владеем всеми современными методиками имплантации

Коронка на имплант:

Имплант

Цена установки импланта под ключ:
  • имплант с установкой
  • коронка с установкой
  • пожизненная гарантия на имплант
  • высокая скорость приживления
  • имплант с коронкой из диоксида циркония
*до 20 января
Диоксид циркония
112 340₽
49 990₽
Цена за 1 имплант 
с установкой
62 400₽
15 990₽
50 990₽*
34 900₽

Цены на имплантацию зубов

Dentium

Nobel Biocare

Коронка на имплант:

Имплант

Цена за 1 имплант 
с установкой
*до 20 января
Диоксид циркония
78 500₽
128 490₽
49 990₽
54 990₽
89 990₽*
34 990₽
Цена установки импланта под ключ:
  • имплант с установкой
  • коронка с установкой
  • пожизненная гарантия на имплант
  • ускоренная приживаемость
  • имплант с коронкой из диоксида циркония

Straumann

Коронка на имплант:

Имплант

Цена установки импланта под ключ:
  • имплант с установкой
  • коронка с установкой
  • пожизненная гарантия на имплант
  • наивысшая скорость приживаемости
  • имплант с коронкой из диоксида циркония
Цена за 1 имплант 
с установкой
*до 20 января
Диоксид циркония
107 130₽
157 120₽
49 990₽
74 990₽
109 990₽*
34 990₽
Рассрочка 0 % до 12 мес
Цена фиксируется заранее и включает всё необходимое — диагностику, установку импланта, коронку и осмотры врача
Счастливые люди, которые выбрали нас —
уверенность в улыбке
и вернули себе
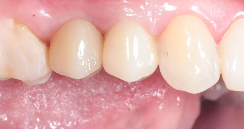
Имплант Straumann + коронки из керамики
Ирина
Врач-стоматолог хирург, имплантолог, опыт работы 7 лет
Мхитарян Карен Артаваздович
Врач челестнолицевой хирург, стоматолог, имплантолог, опыт работы 20 лет
Тумянан Ваге Самсонович
Имплант Nobel Biocare + коронки из керамики
Максим
Врач-стоматолог хирург, имплантолог, опыт работы 7 лет
Мхитарян Карен Артаваздович
Имплант Dentium + коронки из керамики
Любовь
Все на 4-х имплантатах Straumann
Маргарита
Врач челестнолицевой хирург, стоматолог, имплантолог, опыт работы 20 лет
Тумянан Ваге Самсонович
Каждый третий пациент приходит
 к нам по искренней рекомендации
Персональное сопровождение кураторов на всём пути лечения
Всегда на связи
Ваш куратор сопровождает вас на всех этапах — от первого визита до финального результата.
Понятный план лечения
Помогает разобраться в вариантах, подбирает оптимальный план без лишних процедур.
Удобная запись
Подбирает комфортное время приёма и координирует визиты к врачам.
Поддержка и спокойствие
Отвечает на вопросы, напоминает о приёмах и помогает чувствовать себя уверенно на каждом этапе.
Виктория
Старший куратор лечения

Леда
Куратор лечения
«Делаем всё, чтобы лечение вписалось в ваш график и прошло с максимальным комфортом.»
с бесплатной консультации
Начните путь к новой улыбке
  • Врач-ортопед


  • Основатель клиники СID


  • Опыт работы 22 года
Генералов
Иван Михайлович
Консультация ни к чему
не обязывает, вы просто получите точный план лечения под вашу ситуацию
Мы в социальных сетях
*Instagram принадлежит компании Meta, признанной экстремистской и запрещенной на территории РФ
Находимся в шаговой доступности
от 3-х метро
г. Москва ул. Мытная 7 с1
Ждем вас с 9:00 до 22:00
Записаться на прием