171 371 ₽
119 960₽
Точное подход в коррекции положения зубов
Исправление прикуса брекетами
Первичная консультация ортодонта
0₽
Проф осмотры каждые 6 мес.
0₽
Современный ортодонтический центр в Москве (ЦАО)
Более 3 000 ортодонтических пациентов. Используем только проверенные и эффективные системы, которые дают стабильный и долгосрочный результат
Более 10 лет работы клиники.
Исправляем прикус любой сложности — от легкой скученности до серьёзных аномалий
исправление прикуса и положение зубов любой сложности
Наша специализация —
Брекеты позволяют точно контролировать движение зубов и корректировать сложные нарушения прикуса
Лечение проходит по четкому плану и под постоянным контролем ортодонта
Мы работаем с системами нового поколения — более компактными, эстетичными и комфортными
  • Врач стоматолог, ортодонт

  • Опыт работы 17 лет

  • Тысячи выровненных зубов
Дивнич Александра
Не просто лечим зубы,
а меняем жизнь к лучшему
История пациента:
Всегда переживала и стеснялась улыбаться из-за неровных зубов. После лечения моя жизнь сильно поменялась. Я стала увереннее в себе и теперь улыбаюсь с удовольствием
H4 и Pitts24
H4 и Pitts24
H4 и Pitts24
Контролируемое перемещение зубов по заранее спланированной траектории
Точная система
Самолигирующий механизм снижает трение и нагрузку на корни и суставы
Меньше давления
Мы долго работали и выбрали для Вас лучшие брекет-системы
Компактные, аккуратные, быстрее привыкание по сравнению с классическими брекетами
Комфорт и эстетика
Подходят для серьёзных нарушений прикуса, подготовки к имплантации и протезированию
Для сложных случаев
Все этапы — в одной клинике, в команде с опытнейшими специалистами
3D-сканирование, анализ прикуса, подбор системы
до ровной улыбки
Всего 3 шага
Контроль и результат
Бесплатная консультация и диагностика
Регулярные приёмы, постепенное выравнивание и фиксация результата
Фиксация брекетов
Аккуратная установка, подробные рекомендации по уходу
Работаем с любыми нарушениями прикуса
Мы подбираем систему индивидуально — под клиническую задачу и образ жизни пациента
Диастемы и тремы
Подготовку к имплантации и протезированию
Асимметрию зубных рядов
Глубокий, открытый, перекрёстный прикус
Сильную скученность зубов
Брекеты эффективно решают:
В стоимость входит:
  • первичная консультация
  • план лечения
  • брекет система
  • фиксация брекетов

Брекет-системы,

с которыми мы работаем

Рассрочка 0% до 12 месяцев
148 000₽
за одну челюсть
211 480₽
Pitts24 (США)
Премиальная система для точной эстетики и сложных случаев
Меньше трения — быстрее и мягче перемещение зубов
148 000₽
за одну челюсть
211 480₽
H4 (США)
Современная самолигирующая система
Компактные, аккуратные, комфортные
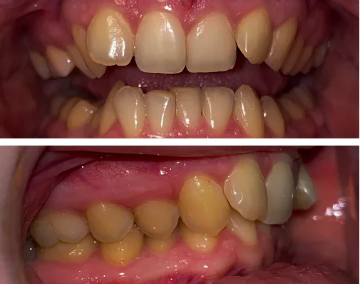
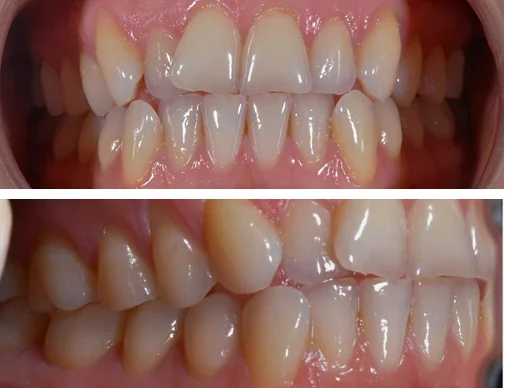
Брекеты H4
Средняя сложность
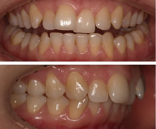
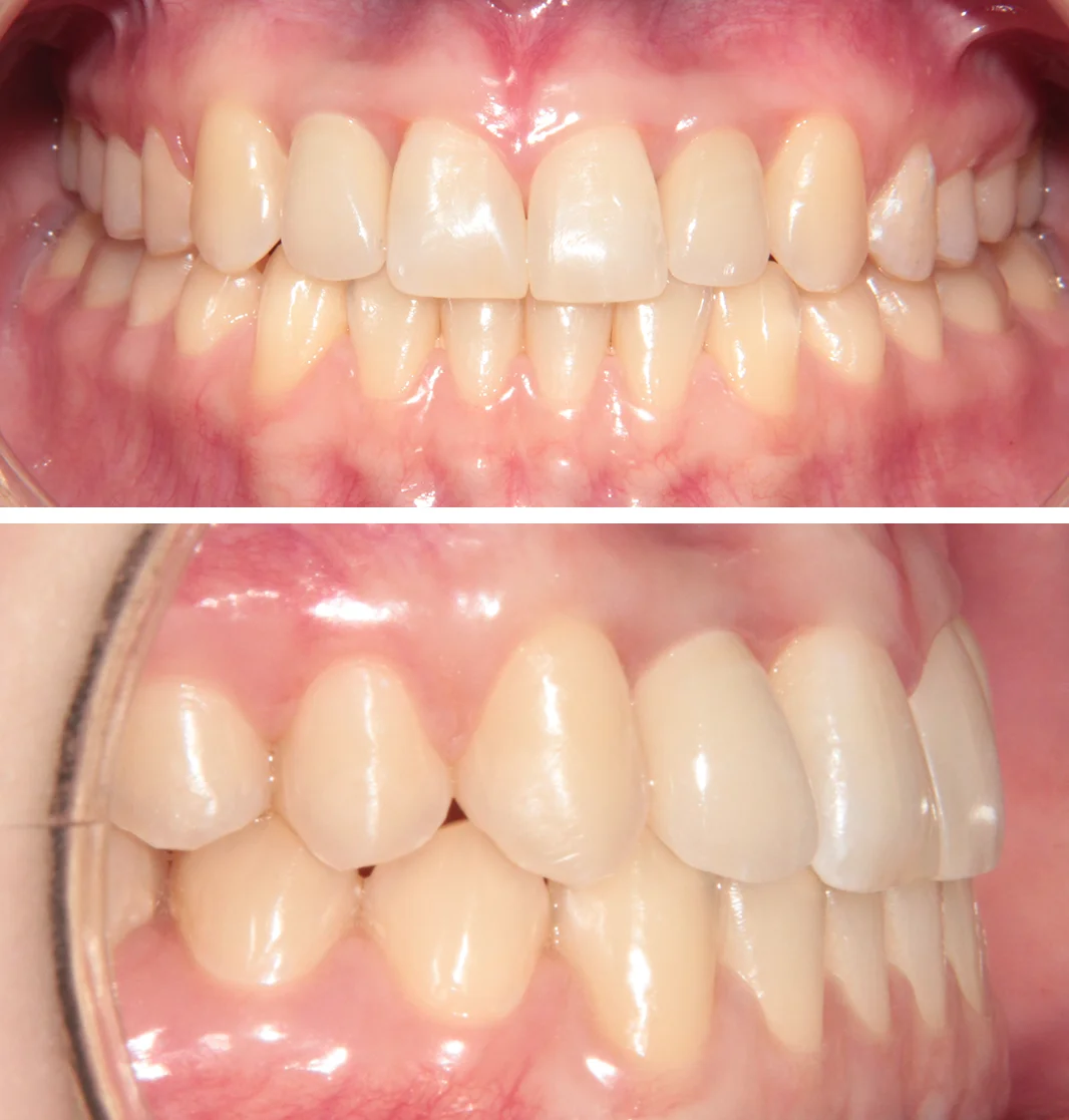
Ирина
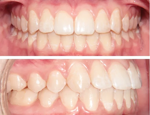
Брекеты Pitts24
Высокая сложность
Максим
Врач-стоматолог, ортодонт
Дивнич А. А.
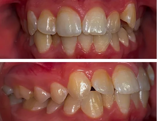
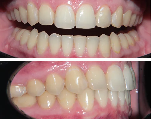
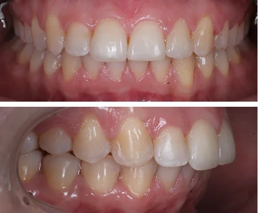
Брекеты Pitts24
Средняя сложность
Ольга
Врач-стоматолог, ортодонт
Горкавчук В.В
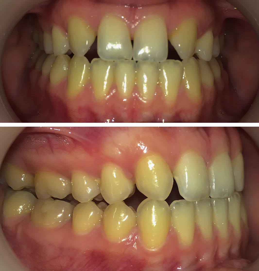
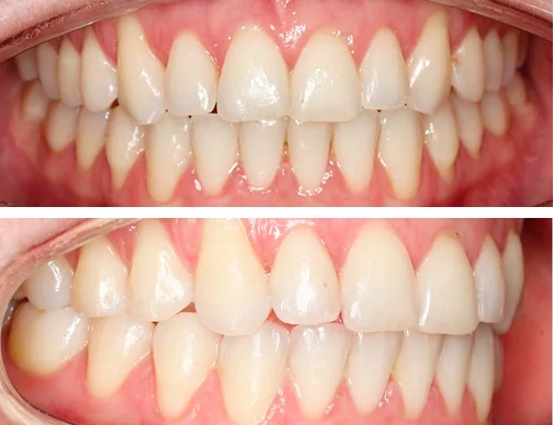
Брекеты Pitts24
Высокая сложность
Елена
Врач-стоматолог, ортодонт
Дивнич А. А.
и вернули себе
уверенность в улыбке
Счастливые люди, которые выбрали нас —
Врач-стоматолог, ортодонт
Смольнякова А.А.
Каждый третий пациент приходит
 к нам по искренней рекомендации
Персональное сопровождение кураторов на всём пути лечения
Всегда на связи
Ваш куратор сопровождает вас на всех этапах — от первого визита до финального результата.
Понятный план лечения
Помогает разобраться в вариантах, подбирает оптимальный план без лишних процедур.
Удобная запись
Подбирает комфортное время приёма и координирует визиты к врачам.
Поддержка и спокойствие
Отвечает на вопросы, напоминает о приёмах и помогает чувствовать себя уверенно на каждом этапе.
Виктория
Старший куратор лечения

Леда
Куратор лечения
«Делаем всё, чтобы лечение вписалось в ваш график и прошло с максимальным комфортом.»
Мы подберём оптимальную систему и честно расскажем, как будет проходить лечение и какой результат вы получите
  • Врач-ортопед


  • Основатель клиники СID


  • Опыт работы 22 года
Генералов
Иван Михайлович
Начните путь к ровной улыбке
с бесплатной консультации
Мы в социальных сетях
*Instagram принадлежит компании Meta, признанной экстремистской и запрещенной на территории РФ
Находимся в шаговой доступности
от 3-х метро
г. Москва ул. Мытная 7 с1
Ждем вас с 9:00 до 22:00
Записаться на прием