от 10 280₽
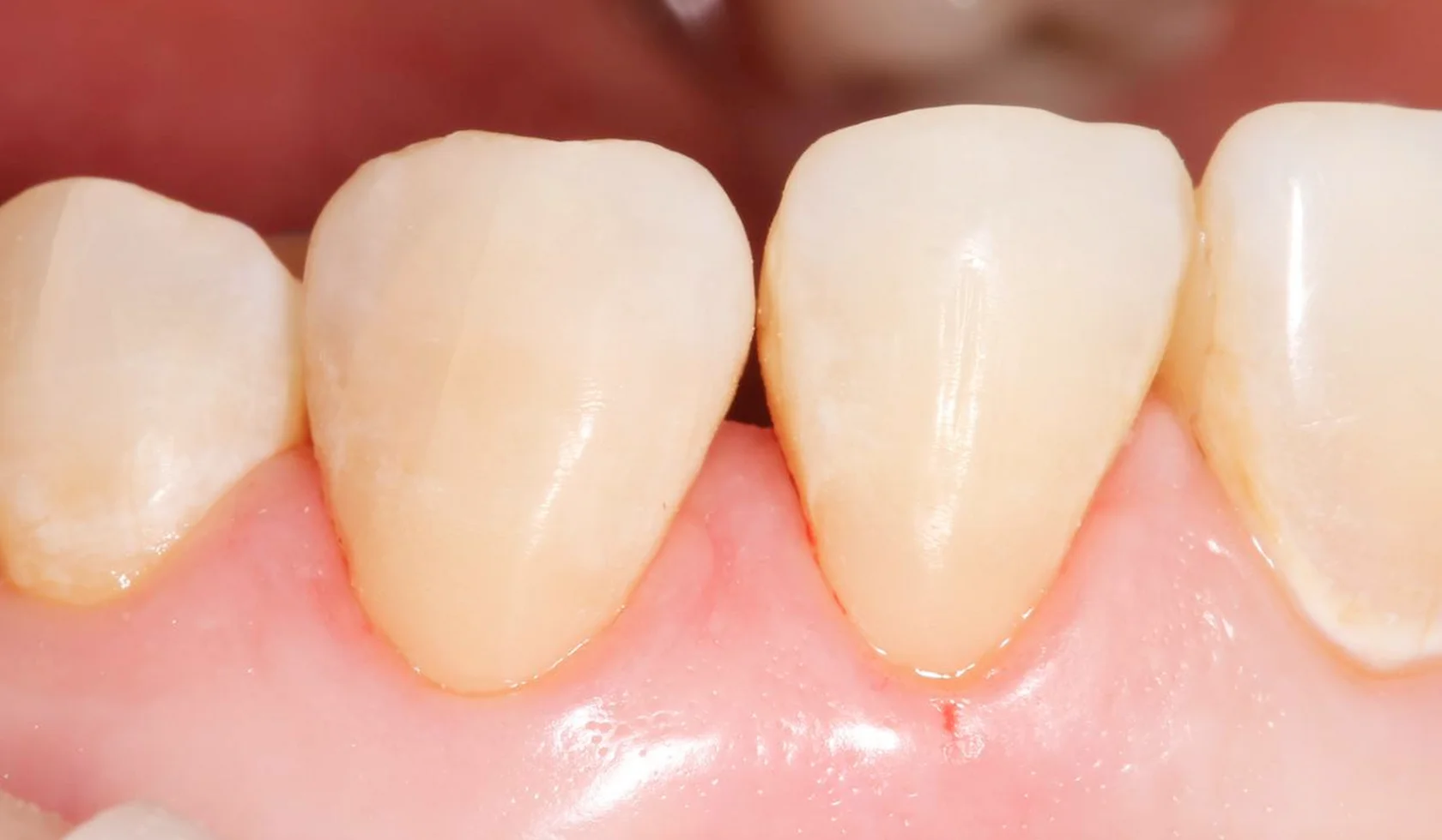
Лечение кариеса под микроскопом
Бережный подход
и долговечный результат
Работа под микроскопом
Лечение во сне
Диагностика + КЛКТ снимок
0₽
Проф осмотры каждые 6 мес
0₽
Современный центр терапевтической стоматологии в центре Москвы (ЦАО)
В 5 раз долговечнее результат благодаря немецкому микроскопу ZEISS, точной диагностике и современным протоколам лечения
Более 10 лет работы клиники
Более 30 000 вылеченных зубов
  • Врач-стоматолог терапевт, эндодонтист

  • Опыт работы 10 лет

  • Более 18 000 спасенных зубов
Маевская Надежда
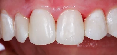
дольше обычных
Наши пломбы служат
Точное восстановление жевательной поверхности правильно распределяет нагрузку и продлевает срок службы
Коффердам изолирует зуб от слюны и бактерий, поэтому пломба держится прочнее и служит дольше
Микроскоп находим кариес на ранней стадии и убираем только повреждённые ткани
Мы используем:
Не просто лечим зубы,
а меняем жизнь к лучшему
История пациента:
Стеснялась улыбаться из-за темных пятен на передних зубах, была сильная чувствительность. Боялась, что после лечения будут заметны пломбы. Но лечение прошло очень мягко, и результат потрясающий
Лечение кариеса и установка пломбы — 30-60 минут
2
Все этапы в одной клинике, с сильнейшей командой специалистов
отделяет всего 3 шага
Контрольный осмотр — через 6 месяцев
3
Консультация и диагностика — бесплатно
1
От здорового зуба
Отговариваем от удаления и импалантации
Сохраняем 9 из 10 зубов
Местная, проводниковая анестезия и даже лечение во сне
Лечение под микроскопом ZEISS с более чем десятикратным увеличением
Эстетические реставрации фронтальных зубов
Лечение поверхностного, среднего и глубокого кариеса
Мы владеем всеми современными методиками:
Лечение кариеса
14 685₽
Цена под ключ включает:
10 280₽
диагностику
коффердам
анестезию
фотополимерную пломбу
микроскоп
Рассрочка 0% до 12 месяцев
Цена фиксируется заранее
Лечение глубокого кариеса + эстетическая реставрация
Ирина
Врач-стоматолог, терапевт, эндодонтист
Маевская Надежда Сергеевна
Врач-стоматолог, терапевт, эндодонтист
Врач-стоматолог, терапевт, эндодонтист
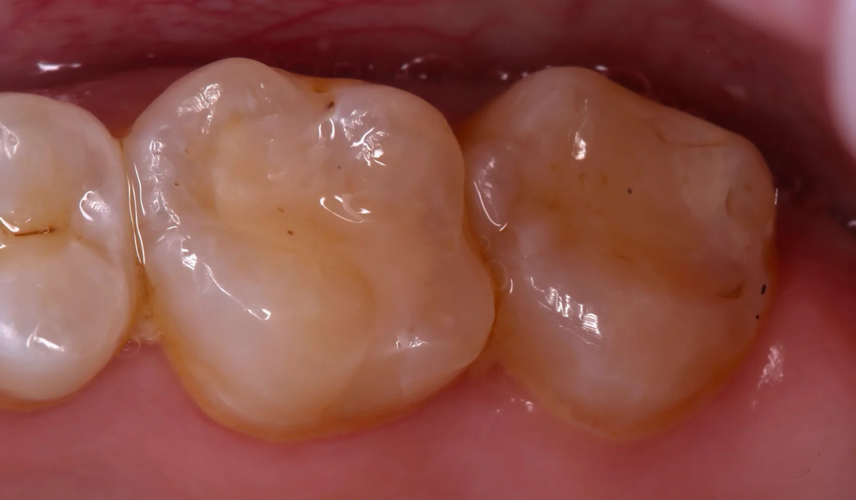
Глубокий кариес под микроскопом
Максим
Несколько кариесов + восстановление формы зубов
Любовь
Лечение пришеечных сколов зуба
Маргарита
и вернули себе
здоровые зубы
Счастливые люди, которые выбрали нас —
Тарасова Кристина Владимировна
Маевская Надежда Сергеевна
Врач-стоматолог, терапевт, эндодонтист
Тарасова Кристина Владимировна
Каждый третий пациент приходит
 к нам по искренней рекомендации
Персональное сопровождение кураторов на всём пути лечения
Всегда на связи
Ваш куратор сопровождает вас на всех этапах — от первого визита до финального результата.
Понятный план лечения
Помогает разобраться в вариантах, подбирает оптимальный план без лишних процедур.
Удобная запись
Подбирает комфортное время приёма и координирует визиты к врачам.
Поддержка и спокойствие
Отвечает на вопросы, напоминает о приёмах и помогает чувствовать себя уверенно на каждом этапе.
Виктория
Старший куратор лечения

Леда
Куратор лечения
«Делаем всё, чтобы лечение вписалось в ваш график и прошло с максимальным комфортом.»
Консультация ни к чему
не обязывает, вы просто получите точный план лечения под вашу ситуацию
  • Врач-ортопед


  • Основатель клиники СID


  • Опыт работы 22 года
Генералов
Иван Михайлович
Начните путь к здоровым зубам
с бесплатной консультации
Мы в социальных сетях
*Instagram принадлежит компании Meta, признанной экстремистской и запрещенной на территории РФ
Находимся в шаговой доступности
от 3-х метро
г. Москва ул. Мытная 7 с1
Ждем вас с 9:00 до 22:00
Записаться на прием