от 199 942₽
139 960₽
Все зубы сразу/Всё на 4-х
Полное восстановление улыбки — за 1 день
Отдельная операционная
Лечение во сне
Хирурги с опытом до 20 лет
3D диагностика + КЛКТ
0₽
Профосмотры каждые 6 мес.
0₽
Современный центр имплантации в Москве в ЦАО
Добиваемся приживаемости 99.9% даже в сложных случаях, благодаря современным методикам и многолетнему опыту
Более 10 лет работы клиники
Более 19 000 имплантаций в практике наших специалистов
сложная имплантация и протезирование с полным восстановлением улыбки
Наша специализация —
  • Врач челестнолицевой хирург, стоматолог, имплантолог

  • Опыт работы 20 лет

  • >15 000 установленных имплантов
Тумянан
Ваге Самсонович
Импланты устанавливаются под углом, что часто позволяет обойтись без костной пластики
Малотравматичные методики позволяют вернуться к привычной жизни уже через 1–2 дня
Имплантация проходит во сне — вы засыпаете, а просыпаетесь уже с новыми зубами
Не просто лечим зубы,
а меняем жизнь к лучшему
История пациента:
Боялась боли и долгой реабилитации. Но все делали всё во сне — я даже ничего не почувствовала. В этот же день могла есть и говорить
Имплантация и установка временного протеза — за 1 день
2
Все этапы в одной клинике, с сильнейшей командой специалистов
отделяет всего 3 шага
Фиксация постоянного протеза — через несколько недель
3
Консультация и диагностика — бесплатно
1
От новой улыбки Вас
Помогаем даже в сложных случаях, когда другие клиники отказывают
Имплантируем даже с атрофией кости
Возможно лечение во сне
Имеем официальную лицензию
Проводим лечение в операционной
Мы владеем всеми современными методиками имплантации
Постоянный протез:
1 челюсть
Цена установки импланта под ключ:
  • импланты с установкой
  • протез с установкой
  • пожизненная гарантия на импланты
  • высокая скорость приживления
*до 20 января
Диоксид циркония
от 396 218₽
от 214 270₽
за 4 импланта
с установкой
от 249 600₽
63 960₽
277 300₽*
149 990₽

Цены на «Все на 4-х»

Dentium

Nobel Biocare

Постоянный протез:

1 челюсть

за 4 импланта
с установкой
*до 20 января
Диоксид циркония
от 314 000₽
от 396 218₽
от 214 270₽
219 960₽
277 300₽*
149 990₽
Цена установки импланта под ключ:
  • импланты с установкой
  • протез с установкой
  • пожизненная гарантия на импланты
  • высокая скорость приживления

Straumann

Постоянный протез:

1 челюсть

Цена установки импланта под ключ:
  • импланты с установкой
  • протез с установкой
  • пожизненная гарантия на импланты
  • высокая скорость приживления
за 4 импланта
с установкой
*до 20 января
Диоксид циркония
от 428 500₽
от 396 218₽
от 214 270₽
299 960₽
277 300₽*
149 990₽
Все на 4-х имплантах + постоянный протез из диоксида циркония
Бесплатная консультация врача
Рассрочка 0% до 12 месяцев
Все на 4-х имплантах + постоянный протез из диоксида циркония
Все на 4-х имплантах + постоянный протез из диоксида циркония
и вернули себе полноценную улыбку
Люди, которые выбрали нас
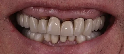
Все на 4-х имплантах NeoDent
Никита
Ортопед:
Столов Степан
Хирург:
Мхитарян Карен
Все на 4-х имплантатах Nobel Biocare
Любовь
Ортопед:
Столов Степан
Хирург:
Мхитарян Карен
Все на 4-х имплантатах Straumann
Максим
Ортопед:
Столов Леонид
Хирург:
Тумянан Ваге
All-on-4 Straumann
Ольга
Ортопед:
Генералов Иван
Хирург:
Тумянан Ваге
Каждый третий пациент приходит
 к нам по искренней рекомендации
Персональное сопровождение кураторов на всём пути лечения
Всегда на связи
Ваш куратор сопровождает вас на всех этапах — от первого визита до финального результата.
Понятный план лечения
Помогает разобраться в вариантах, подбирает оптимальный план без лишних процедур.
Удобная запись
Подбирает комфортное время приёма и координирует визиты к врачам.
Поддержка и спокойствие
Отвечает на вопросы, напоминает о приёмах и помогает чувствовать себя уверенно на каждом этапе.
Виктория
Старший куратор лечения

Леда
Куратор лечения
«Делаем всё, чтобы лечение вписалось в ваш график и прошло с максимальным комфортом.»
Консультация ни к чему
не обязывает, вы просто получите точный план лечения под вашу ситуацию
  • Врач-ортопед


  • Основатель клиники СID


  • Опыт работы 22 года
Генералов
Иван Михайлович
Начните путь к новой улыбке
с бесплатной консультации
Мы в социальных сетях
*Instagram принадлежит компании Meta, признанной экстремистской и запрещенной на территории РФ
Находимся в шаговой доступности
от 3-х метро
г. Москва ул. Мытная 7 с1
Ждем вас с 9:00 до 22:00
Записаться на прием