Естественная красота неотличимая от настоящих зубов
Виниры
и люминиры
Примерка новой улыбки до начала лечения
Лечение под увеличением
Персональная диагностика + план лечения
0₽
Бесплатные профосмотры каждые 6 мес.
0₽
Современный центр эстетической стоматологии в центре Москвы (ЦАО)
Создаём улыбки, которые гармонируют с вашим лицом, возрастом и характером — без эффектов «белой плитки» и без агрессивной обточки зубов
Более 10 лет работы клиники
Более 7 000 установленных виниров
  • Стоматолог-ортопед, гнатолог

  • Опыт 7 лет

  • Более 2 500 выполненных работ
Леонид Столов
Виниры создаём с использованием высококачественной керамики, щадящих методик и цифровой диагностики
Микроинвазивные технологии позволяют сохранить максимум собственного зуба или вовсе обойтись без обточки
Нам важна не только красота, но и здоровье
Мы специализируемся на эстетической и функциональной реабилитации пациентов
Не просто лечим зубы,
а меняем жизнь к лучшему
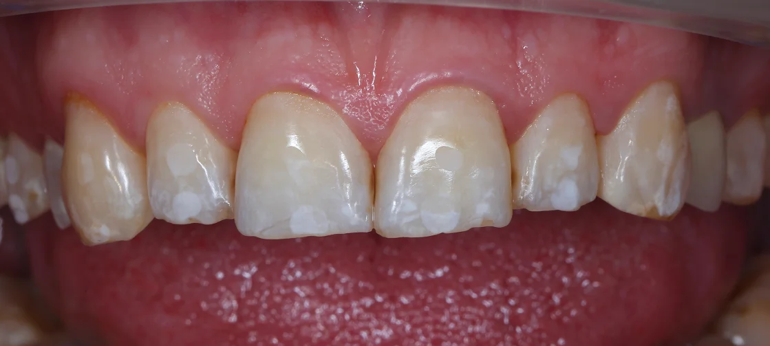
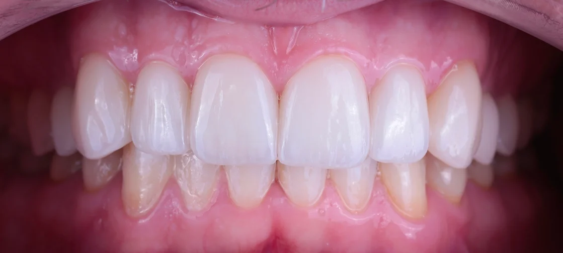
История пациента:
Сдерживала улыбку и переживала, что если буду делать виниры то будут выглядеть неестественно. Сделали все аккуратно. Результат получился потрясающий. Теперь улыбаюсь с удовольствием.
Все этапы — в одной клинике, в команде с опытнейшими специалистами
Снимаем 3D-скан, дентальный фотопротокол, оцениваем прикус и состояние сустава, создаем цифровой макет будущей улыбки
всего за 3 шага
Ваша новая улыбка
Фиксация постоянных виниров
Диагностика — бесплатно
Создание ультрапрочных, индивидуальных виниров на каждый зуб. Идеальная подгонка под ваш прикус и эстетику
Подготовка зубов и примерка
Лечение кариеса, примерка временных виниров, полное согласование цвета и формы
Помогаем в ситуациях любой сложности
Виниры создаются так, чтобы не только выглядеть эстетично и естественно, но и работать правильно не нарушая прикус и не перегружая сустав
Повышенная стираемость, дискомфорт в суставе
Закрытие диастем
Исправление формы и цвета зубов
Виниры без обточки
Тонкие керамические виниры
Мы работаем со всеми эстетическими ситуациями:
8 керамических виниров
Дарья
Врач-стоматолог ортопед
Столов Леонид
Врач-стоматолог ортопед
Врач-стоматолог ортопед
8 керамических виниров
Максим
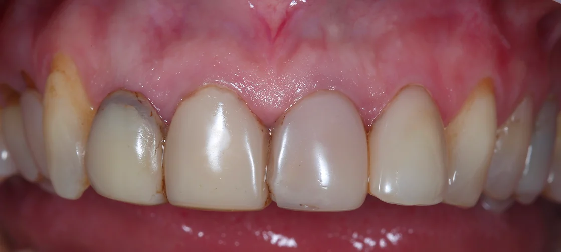
12 керамических виниров
Ольга
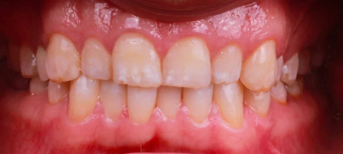
20 керамических виниров
Алексей
и вернули себе
уверенность в улыбке
Счастливые люди, которые выбрали нас —
Столов Леонид
Столов Леонид
Врач-стоматолог ортопед
Столов Степан
Каждый третий пациент приходит
 к нам по искренней рекомендации
Персональное сопровождение кураторов на всём пути лечения
Всегда на связи
Ваш куратор сопровождает вас на всех этапах — от первого визита до финального результата.
Понятный план лечения
Помогает разобраться в вариантах, подбирает оптимальный план без лишних процедур.
Удобная запись
Подбирает комфортное время приёма и координирует визиты к врачам.
Поддержка и спокойствие
Отвечает на вопросы, напоминает о приёмах и помогает чувствовать себя уверенно на каждом этапе.
Виктория
Старший куратор лечения

Леда
Куратор лечения
«Делаем всё, чтобы лечение вписалось в ваш график и прошло с максимальным комфортом.»
Консультация ни к чему
не обязывает, вы просто получите точный план лечения под вашу ситуацию
  • Врач-ортопед


  • Основатель клиники СID


  • Опыт работы 22 года
Генералов
Иван Михайлович
Начните путь к новой улыбке
с бесплатной консультации
Мы в социальных сетях
*Instagram принадлежит компании Meta, признанной экстремистской и запрещенной на территории РФ
Находимся в шаговой доступности
от 3-х метро
г. Москва ул. Мытная 7 с1
Ждем вас с 9:00 до 22:00
Записаться на прием