Премиум системы Flash и ZOON 4
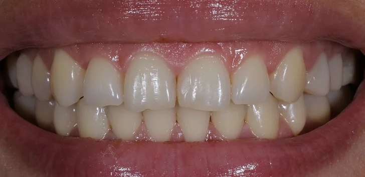
Профессиональное отбеливание зубов
Процедура 60 минут
Видимый результат за 1 визит
Первичная консультация
0₽
Реминерализация эмали после процедуры
0₽
Инновационный стоматологический центр в Москве (ЦАО)
Отбеливание проводится под контролем врача с обязательной защитой эмали и дёсен
Более 10 лет работы клиники
Работаем только с сертифицированными премиум системами
эстетика улыбки и здоровье зубов
Наша специализация —
Отбеливание это не просто изменение цвета, а аккуратная и безопасная работа с эмалью
Процедура проходит комфортно без повреждения эмали и с прогнозируемым эффектом
Мы подбираем систему индивидуально — с учетом состояния зубов, чувствительности и ожидаемого результата
  • Врач-стоматолог, терапевт, эндодонтист

  • Опыт работы более 9 лет
Тарасова Кристина
Не просто белые зубы,
а уверенность в себе
История пациента:
Давно хотела сделать отбеливание, но боялась чувствительности. Врач всё подробно объяснил, защитил дёсны и результат получился очень естественным
Flash и ZOON 4
Flash и ZOON 4
Flash и ZOON 4
Осветление происходит под LED-лампой с точным контролем времени и оттенка
Контролируемый результат
Используем защиту дёсен и завершаем процедуру реминерализацией
Безопасно для эмали
Используем самые эффективные безопасные системы для вашей эмали
Бережное отношение к вашей эмали
Разный уровень интенсивности
Сохраняется до 2-3-х лет при соблюдении рекомендаций
Длительный эффект
Все этапы — за 1 визит с лучшей командой специалистов
Осмотр, фотофиксация, выбор системы отбеливания
Завершение и рекомендации
Консультация и определение оттенка
Реминерализация эмали и рекомендации для сохранения результата
Процедура отбеливания
Защита дёсен, нанесение геля, активация лампой
к белоснежной улыбке
Всего 3 шага
Каждый третий пациент приходит
 к нам по искренней рекомендации
29 990₽
Flash
Интенсивное осветление до 7- 8 тонов
Длительность результата до 2-х лет
Выраженный результат за 1 визит
38 990₽
55 700₽
ZOON 4
Интенсивное осветление до 8-12 тонов
Длительность результата до 2-х лет
Выраженный результат за 1 визит

Системы отбеливания,

с которыми мы работаем

42 850₽
Персональное сопровождение кураторов на всём пути лечения
Всегда на связи
Ваш куратор сопровождает вас на всех этапах — от первого визита до финального результата.
Понятный план лечения
Помогает разобраться в вариантах, подбирает оптимальный план без лишних процедур.
Удобная запись
Подбирает комфортное время приёма и координирует визиты к врачам.
Поддержка и спокойствие
Отвечает на вопросы, напоминает о приёмах и помогает чувствовать себя уверенно на каждом этапе.
Виктория
Старший куратор лечения

Леда
Куратор лечения
«Делаем всё, чтобы лечение вписалось в ваш график и прошло с максимальным комфортом.»
Для нас важно не просто отбелить зубы, а сделать это бережно и безопасно для эмали
  • Врач-ортопед


  • Основатель клиники СID


  • Опыт работы 22 года
Генералов
Иван Михайлович
Начните путь к белоснежной улыбке
с бесплатной консультации
Мы в социальных сетях
*Instagram принадлежит компании Meta, признанной экстремистской и запрещенной на территории РФ
Находимся в шаговой доступности
от 3-х метро
г. Москва ул. Мытная 7 с1
Ждем вас с 9:00 до 22:00
Записаться на прием