Элайнеры True Smile под ключ
Невидимое исправление прикуса
Нет ограничений в еде
Не нарушают дикцию
Полностью прозрачные
Первичная консультация ортодонта
0₽
Бесплатные профосмотры каждые 6 мес
0₽
Современный ортодонтический центр в Москвы (ЦАО)
Работа с элайнерами премиум качества True Smile. Корректируем скученность, щели, неправильный прикус, повороты зубов — без брекетов
Более 10 лет работы клиники.
Достигаем предсказуемого и стабильного результата благодаря точному цифровому планированию и индивидуальным каппам
исправление прикуса и положение зубов любой сложности
Наша специализация —
Лечение проходит комфортно без ограничений в питании
Отличаются высокой точностью перемещения зубов и минимальным дискомфортом
Элайнеры тонкие, прочные и прозрачные — подходят взрослым и детям
  • Врач стоматолог, ортодонт

  • Опыт работы 17 лет

  • Тысячи выровненных зубов
Дивнич Александра
Не просто лечим зубы,
а меняем жизнь к лучшему
История пациента:
Стеснялась улыбаться и избегала свиданий, боялась металлических брекетов. Элайнеры оказались настолько комфортными, что через несколько дней я перестала их ощущать.
Уже через 2 мес. увидела реальные изменения. Стала уверена в себе и улыбаюсь при любой возможности
True Smile
True Smile
True Smile
Элайнеры изготовлены из современного прозрачного материала: они тонкие, прочные, комфортные и практически незаметны при ношении
Материал нового поколения
От легкой эстетической коррекции, до сложных случаев с изменением прикуса
Подходит для разных клинических случаев
Мы долго работали и выбрали для Вас лучшую систему коррекции положения зубов
Лечение начинается с 3D-моделирования. Врач заранее видит весь путь перемещения зубов — от старта до финального результата
Полностью цифровое планирование
True Smile позволяет накладывать данные КТ на 3D-план лечения, чтобы движение зубов было безопасным не только для улыбки, но и для корней и челюстного сустава
Контроль корней и суставов (ВНЧС)
Все этапы — в одной клинике, в команде с опытнейшими специалистами
Консультация, фотоанализ, цефалометрическое исследование и оценка состояние ВНЧС
Получение элайнеров и старт лечения
Бесплатная консультация и диагностика
Постепенное перемещение зубов. Контрольные визиты — раз в 6–8 недель
Изготовление набора элайнеров — 1-2 недели
Лечение кариеса, примерка временных виниров, полное согласование цвета и формы
отделяет всего 3 шага
От ровной улыбки Вас
Решаем даже сложные ортодонтические задачи
Мы работаем с клинически сложными случаями, когда другие клиники предлагают только брекеты
Открытого прикуса
Щелей и промежутков
Глубокого прикуса
Коррекции положения зубов перед имплантацией или протезированием
Перекрестного прикуса
Скученности и поворотов зубов
Наши элайнеры подходят для:
Цена под ключ включает:
Поддержка ортодонта на всех этапах
Моделирование результата
Полный набор элайнеров от начала и до конца лечения
Ретейнер по завершению
Фотоанализ
Контрольные приемы
3D-сканирование
элайнерами
Исправление прикуса
от 207 140
Рассрочка 0% до 12 месяцев
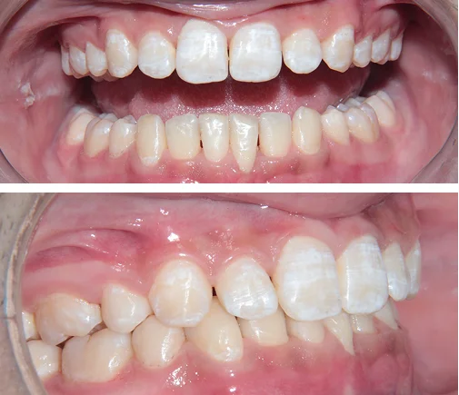
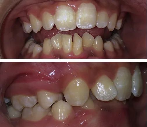
Скученность зубов/неправильный прикус/дистопированный зуб
Дарья
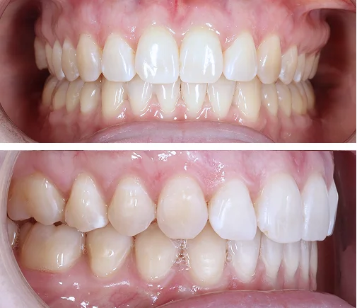
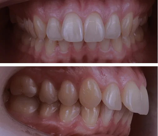
Открытый прикус/неверное смыкание
Ольга
Врач-стоматолог, ортодонт
Горкавчук В.В
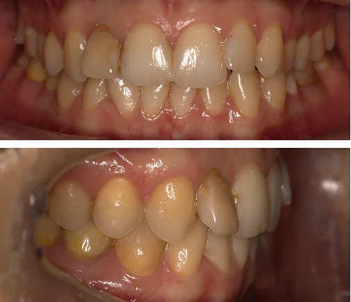
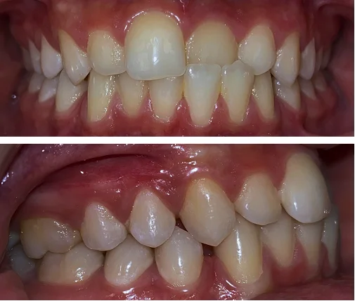
Глубокий дистальный прикус/адентия
Роман
Врач-стоматолог, ортодонт
Дивнич А. А.
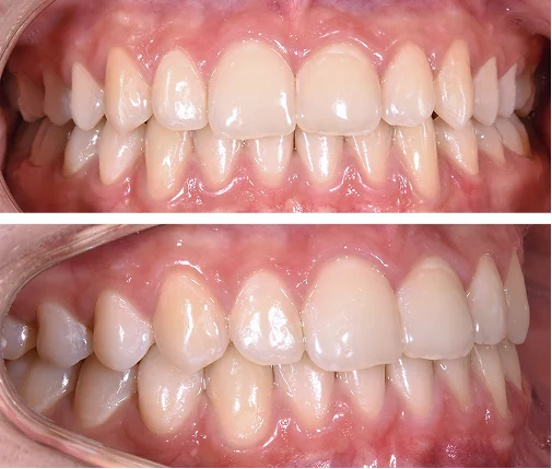
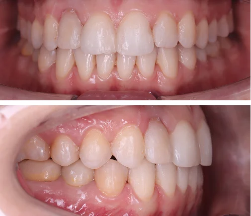
Неправильный прикус
Максим
Врач-стоматолог, ортодонт
Смольнякова А. В.
и вернули себе
уверенность в улыбке
Счастливые люди, которые выбрали нас —
Врач-стоматолог, ортодонт
Дивнич А. А.
Каждый третий пациент приходит
 к нам по искренней рекомендации
Персональное сопровождение кураторов на всём пути лечения
Всегда на связи
Ваш куратор сопровождает вас на всех этапах — от первого визита до финального результата.
Понятный план лечения
Помогает разобраться в вариантах, подбирает оптимальный план без лишних процедур.
Удобная запись
Подбирает комфортное время приёма и координирует визиты к врачам.
Поддержка и спокойствие
Отвечает на вопросы, напоминает о приёмах и помогает чувствовать себя уверенно на каждом этапе.
Виктория
Старший куратор лечения

Леда
Куратор лечения
«Делаем всё, чтобы лечение вписалось в ваш график и прошло с максимальным комфортом.»
Консультация ни к чему
не обязывает, вы просто получите точный план лечения под вашу ситуацию
  • Врач-ортопед


  • Основатель клиники СID


  • Опыт работы 22 года
Генералов
Иван Михайлович
Начните путь к ровной улыбке
с бесплатной консультации
Мы в социальных сетях
*Instagram принадлежит компании Meta, признанной экстремистской и запрещенной на территории РФ
Находимся в шаговой доступности
от 3-х метро
г. Москва ул. Мытная 7 с1
Ждем вас с 9:00 до 22:00
Записаться на прием