Элайнеры True Smile под ключ
Невидимое исправление прикуса
Пройти диагностику
Нет ограничений в еде
Не нарушают дикцию
Полностью прозрачные
Первичная консультация ортодонта
0₽
Бесплатные профосмотры каждые 6 мес
0₽
Современный ортодонтический центр в Москвы (ЦАО)
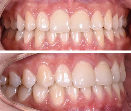
Работа с элайнерами премиум качества True Smile. Корректируем скученность, щели, неправильный прикус, повороты зубов — без брекетов
Более 10 лет работы клиники.
Достигаем предсказуемого и стабильного результата благодаря точному цифровому планированию и индивидуальным каппам
исправление прикуса и положение зубов любой сложности
Наша специализация —
Лечение проходит комфортно без ограничений в питании
Отличаются высокой точностью перемещения зубов и минимальным дискомфортом
Элайнеры тонкие, прочные и прозрачные — подходят взрослым и детям
  • Врач стоматолог, ортодонт

  • Опыт работы более 14 лет

  • Тысячи выровненных зубов
Давинич Александра
Не просто лечим зубы,
а меняем жизнь к лучшему
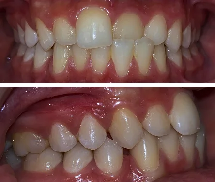
История пациента:
Стеснялась улыбаться и избегала свиданий, боялась металлических брекетов.Элайнеры оказались настолько комфортными, что через несколько дней я перестала их ощущать.
Уже через 2 мес. увидела реальные изменения. Стала уверена в себе и улыбаюсь при любой возможности
Исправить прикус